سفید بودن دندان ها یکی از اولین نشانه های زیبایی چهره محسوب می شود؛ اما بسیاری از افراد به علت زردی و تغییر رنگ مینای دندان، اعتمادبه نفس و جذابیت اولیه چهره خود را از دست می دهند. خوشبختانه امروزه روش های مختلفی برای سفید کردن دندان در خانه وجود دارد که می تواند تاثیر قابل قبولی بر تغییر چهره داشته باشد. برای آشنایی با سریع ترین روش های سفید کردن دندان در خانه، این مطلب را تا انتها بخوانید.

6 علت مهم زرد شدن دندان ها
وقتی علت تغییر رنگ دندان هایتان را شناسایی کنید، بهتر می توانید راهکار مناسب برای سفید کردن دندان در خانه را پیدا کنید. همچنین اطلاع از عواملی که باعث زرد شدن رنگ دندان ها می شوند، به شما کمک می کند تا با دوری از آن ها یا احتیاط در مصرفشان، از بروز مجدد این عارضه جلوگیری کنید.
مهم ترین دلایلی که باعث تغییر رنگ دندان شده و شما را نیازمند انجام بلیچینگ دندان مشهد می کنند را در ادامه معرفی می کنیم:
- استعمال دخانیات و کشیدن سیگار
- عدم به توجه به رعایت بهداشت دهان
- مصرف داروهایی مانند تتراسایکلین در کودکی
- تحلیل تدریجی مینای دندان ها بر اثر بالا رفتن سن
- زیاده روی در نوشیدن مایعات رنگی از جمله قهوه، چای و نوشابه
- مصرف بیش ازاندازه غذاهای اسیدی از جمله سرکه یا نوشیدنی های گازدار
4 روش رایج برای سفید کردن دندان در خانه
روش های زیادی برای سفید کردن زردی دندان ها در خانه وجود دارد که با عنوان «روش های طبیعی بلیچینگ دندان در خانه» نیز شناخته می شوند. البته بهتر است پیش از انتخاب و استفاده از روش هایی که در ادامه معرفی می کنیم، با دندانپزشک معالج خود مشورت کنید تا احتمال آسیب به مینای دندان هایتان را به صفر برسانید. رایج ترین و ایمن ترین راهکارهای طبیعی برای بلیچینگ خانگی به شرح زیر هستند:
1. زردچوبه، دشمن زردی دندان ها
شاید برای شما هم عجیب باشد اما پودر زردچوبه یکی از سریع ترین و موثرترین راهکارهای خانگی برای از بین بردن زردی دندان ها است. هنگامی که این ادویه پرطرفدار را با روغن نارگیل یا جوش شیرین ترکیب کنید، خاصیت ضد باکتری پیدا کرده و از تشکیل پلاک دندانی جلوگیری می کند. این ترکیبات را در هفته 2 الی 3 بار مصرف کنید تا تاثیرات آن را مشاهده کنید.

2. پوست موز و سفید کردن دندان
مواد معدنی مانند پتاسیم و منیزیم توانایی بالایی در روشن تر کردن رنگ مینای دندان دارند. از آنجا که داخل پوست موز سرشار این مواد معدنی است، برای سفید شدن دندان هایتان روزانه یک بار قسمت داخلی پوست موز را چند دقیقه روی مینای دندان بمالید.
3. روغن نارگیل و درمان زردی مینای دندان
روغن نارگیل توانایی بی نظیری در حذف باکتری های موجود داخل فضای دهان دارد و می تواند از این طریق، رنگ دندان ها را روشن تر سازد. در طب سنتی هند توصیه های فراوانی مبنی بر استفاده از این روغن جهت سفید کردن دندان شده است. برای این کار روزانه 10 ای 15 دقیقه کمی روغن نارگیل طبیعی و اصل را در فضای دهان بچرخانید و غرغره کنید.
4. آب اکسیژنه + جوش شیرین = سفیدی دندان
برای پاک کردن لکه های سطحی از روی دندان می توانید مقدار کمی جوش شیرین را با اندکی آب اکسیژنه ترکیب کنید. این ترکیب را تنها یک بار در هفته استفاده کنید تا مینای دندان هایتان صدمه ای نبینند. جهت دریافت لیست کامل سفید کردن دندان در خانه یا مطب به مقاله سفید کردن دندان در مجله دندانپزشکی بارانا سری بزنید.
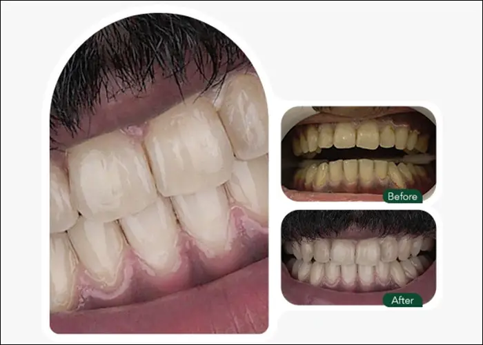
سفید کردن دندان در خانه یا دندانپزشکی؟
هر کدام از این راهکارها دارای مزایا و معایب خاص خود هستند و شما بایستی با توجه به شرایط خود، بهترین و مناسب ترین گزینه را انتخاب کنید. برای مثال بلیچینگ در مطب یا دندانپزشکی که با عنوان «آفیس بلیچینگ» نیز شناخته می شود، روشی ایمن برای تغییر رنگ دندان است که در مدت زمان کوتاهی نتیجه می دهد و تاثیرات ماندگارتری دارد. این در حالی است که استفاده از روش های طبیعی و خانگی برای سفید کردن دندان هزینه کمتری داشته و برای عموم افراد در دسترس است.
ترفندهای پیشگیری از زرد شدن دندان
- دو بار دندان هایتان را با خمیر دندان حاوی فلوراید به شیوه اصولی مسواک بزنید.
- برای پیشگیری از تشکیل جرم و پلاک، دهانشویه های حاوی فلوراید را انتخاب کنید.
- روزانه یک مرتبه از نخ دندان استفاده کنید و به صورت اصولی و دقیق فضای بین دندان ها با یکدیگر و لثه را به خوبی از ذرات باقی مانده مواد غذایی پاک کنید.
- مصرف خوراکی ها و نوشیدنی های رنگی در طول روز را به حداقل مقدار ممکن برسانید و در صورت مصرف، بلافاصله دندان هایتان را با آب خالی بشویید.
- سالی یک یا دو مرتبه برای جرم گیری دندان هایتان به مراکز دندانپزشکی معتبر مراجعه کنید.
- جهت پاکسازی طبیعی دندان ها، خوردن میوه و سبزیجات خام را در برنامه غذایی روزانه خود اضافه کنید.

دریافت مشاوره رایگان جهت سفید کردن دندان
چنانچه قصد دارید با روشی اصولی و ماندگار دندان هایتان را سفید کنید، می توانید از تکنولوژی جدید و به روز کلینیک بارانا بهره مند شوید. بارانا یک مرکز تخصصی دندانپزشکی مشهد است که خدمات جامعی در حوزه دهان و دندان ارائه می کند. شما همه روزه می توانید از طریق تماس با شماره 37609009-051 مشاوره رایگان دریافت کرده و از آخرین قیمت خدمات دندانپزشکی مطلع شوید.



















